Pasar al contenido principal
Econoticias y Eventos
Internacional
COMPARTIR
Se ha copiado el vínculo

Fallece Emanuel, el menor cubano que tenía un enorme tumor en el rostro

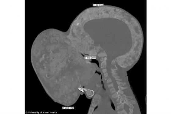
El menor cubano Emanuel Zayas, quien fue operado de un tumor en su cara del tamaño de una pelota de baloncesto, falleció, según confirmó uno de los médicos que intervino en su operación.
Imagen
Crédito
/ University of Miami Health
23 Ene 2018 - 9:14 COT por Ecos del Combeima

Robert E. Marx, jefe de Cirugía Oral y Maxilofacial del Sistema de Salud de la Universidad de Miami, lo confirmó en su cuenta de Facebook.

El médico explicó que el menor, quien había sido operado el pasado 12 de enero, tuvo insuficiencia renal y pulmonar.

Emanuel, de 14 años, fue diagnosticado desde pequeño con un síndrome poco común que afecta los huesos, la piel y el sistema hormonal, lo que le generó un tumor de 4,5 kilogramos en el rostro. El tumor lo ponía en riesgo de asfixia o de sufrir una fractura en el cuello.

"Los padres de Emanuel dicen que ahora está bien anunciar públicamente su fallecimiento", dijo el médico en un comunicado su cuenta de Facebook. "Por favor, sepan que la familia encuentra consuelo en donar el cuerpo de Emanuel a la investigación médica con la esperanza de aprender más sobre esta rara enfermedad y ayudar a la gente que sufre por ella alrededor del mundo".

Tomado de: cnnespanol.cnn.com

Lo más leído