Pasar al contenido principal
Econoticias y Eventos
Judicial
COMPARTIR
Se ha copiado el vínculo

Hombre creía tener cáncer de pulmón, pero los médicos le detectaron algo inesperado

El hombre pensó que haber fumado durante 30 años era una fuerte razón para que los médicos le diagnostiquen cáncer; sin embargo, la verdad era otra.
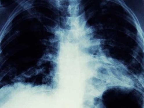
Imagen
30 Sep 2017 - 16:15 COT por Ecos del Combeima

Luego de haber presentado una tos incurable, un hombre de 47 años decidió someterse a varios exámenes para saber que era lo que le ocurría a su cuerpo. Él pensó que haber fumado durante 30 años era motivo suficiente para que los médicos le digan que tenía cáncer a los pulmones. 

Las radiografías de tórax, mostraban una terrible mancha negra en su pulmón izquierdo, lo que era interpretado como un posible cáncer; sin embargo, además de la tos, no había más signos que indicaran que en realidad se trataba de esta terrible enfermedad.

Ante ello, los médicos decidieron realizar una revisión minuciosa para dar con lo que realmente tenía el hombre, descubriendo así algo increíble.

Resulta que la mancha negra se trataba de un pequeño cono de tráfico de 'Playmobil' que le habían regalado en su cumpleaños número 7. 

Los médicos sorprendidos no podían creer que el objeto hubiera vivido en su interior durante 40 años: “Finalmente encontró su cono perdido de Playmobil en el último sitio en el que se le hubiese ocurrido mirar”, decía el informe médico. 

Para buena suerte del hombre, el cáncer quedó descartado y ahora si tendrá que cuidarse.