Pasar al contenido principal
Econoticias y Eventos
Tolima
COMPARTIR
Se ha copiado el vínculo

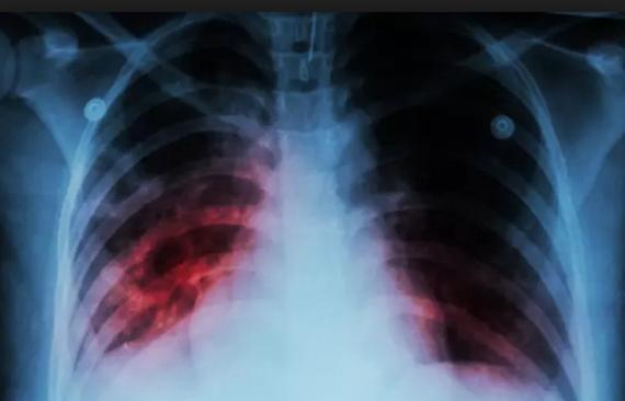
Tuberculosis, enfermedad silenciosa, pero de cuidado

En un año se reportan entre 450 a 500 casos en el Tolima.
Imagen
25 Mar 2022 - 10:51 COT por Ecos del Combeima

Con el lema “Invirtamos en Poner fin a la Tuberculosis, Salvemos Vidas”, se conmemora el Día Mundial de la Tuberculosis, que viene creciendo en casos en el mundo.

La tuberculosis es causada por la bacteria Mycobacterium Tuberculosis, es una enfermedad infecciosa que suele afectar a los pulmones y se presenta en el Departamento con mucha frecuencia.

Según el boletín epidemiológico de la semana 10 del 2022, en el Tolima se han notificado 92 casos en los que se encuentran 78 de tuberculosis pulmonar y 14 de tuberculosis extrapulmonar.

Imagen

En medio de una entrevista en el programa “Salud En Línea” de la Secretaría de Salud del Tolima, el coordinador del Sistema de Vigilancia en Salud Pública, Sivigila, Faír Alarcón, señaló que “en promedio en el Departamento se encuentran entre 450 a 500 casos reportados cada año, con una tasa de mortalidad de 50 personas”, afirmó.

“La tuberculosis es una enfardad que tiene tratamiento mínimo con cuatro medicamentos, el cual puede tardar entre seis meses a un año, dependiendo del sistema inmunológico de la persona”, agregó Alarcón. Esto quiere decir que es una enfermedad que sí genera mortalidad, pero que también se puede manejar con un estricto tratamiento y lograr curar.

Es por ello que se debe de pensar en tuberculosis antes estos signos de alarma: Tos intensa que dura tres semanas o más, dolor en el pecho, debilidad o fatiga, pérdida de peso, falta de apetito, escalofríos y fiebre. Si usted padece de esta sintomatología, lo más adecuado es asistir al centro de salud para una valoración y posterior tratamiento, en caso de tener esta enfermedad.
 

Lo más leído