Contenido multimedia principal Cabecillas del ELN y disidencias abandonan Venezuela tras caída de Nicolás Maduro La operación militar de Estados Unidos en Caracas provocó un remezón en el crimen transnacional. Jefes de estructuras armadas ilegales, que durante añ...
Contenido multimedia principal ¿Cuándo iniciará el juicio contra Nicolás Maduro en Estados Unidos? El dictador venezolano permanece recluido en una prisión federal de Nueva York mientras la justicia estadounidense se prepara para definir el rumbo de...
Contenido multimedia principal Tribunal Supremo ordenó que Delcy Rodríguez asuma la Presidencia encargada de Venezuela La decisión fue adoptada por la Sala Constitucional del TSJ tras la captura de Nicolás Maduro por parte de Estados Unidos. El alto tribunal argumentó ...
Contenido multimedia principal “Tiene que cuidarse el trasero”: la advertencia de Trump a Petro El presidente de Estados Unidos lanzó una dura advertencia a Gustavo Petro, acusándolo de permitir la producción y envío de cocaína hacia territorio e...
Contenido multimedia principal Fuente de la CIA en Venezuela monitoreó ubicación de Maduro por días, revela The New York Times Según el diario estadounidense, una fuente dentro del Gobierno venezolano permitió a la CIA seguir de cerca los movimientos de Nicolás Maduro antes de...
Contenido multimedia principal Denuncian a Shakira por presunto fraude fiscal Eso hizo Hacienda española ante la Fiscalía, porque considera que, entre 2011 y 2014, la cantante colombiana debía tributar en ese país europeo por la...
Contenido multimedia principal Hombre le envió una foto de su novia a su madre sin ocultar un importante detalle La fotografía se volvió tendencia en Twitter. El hombre quedó sorprendido por no haberse dado cuenta antes.
Contenido multimedia principal En video: Brutal ataque de un jabalí deja inconsciente a dos personas Despiadado ataque se registro en China y se ha vuelto viral en horas de publicarse en YouTube.
Contenido multimedia principal En video: Abuela brasileña la rompe en redes haciendo malabares con balón de fútbol Las imágenes de una señora brasileña mostrando su destreza con una pelota de fútbol arrasa en las redes sociales y se convierte en viral.
Contenido multimedia principal El ejercicio regular mejora la función pulmonar de las personas fumadoras, según ISGlobal El ejercicio regular mejora la función pulmonar de las personas fumadoras, según constata un estudio liderado por el Instituto de Salud Global de Barc...
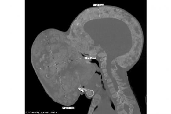
Contenido multimedia principal Fallece Emanuel, el menor cubano que tenía un enorme tumor en el rostro El menor cubano Emanuel Zayas, quien fue operado de un tumor en su cara del tamaño de una pelota de baloncesto, falleció, según confirmó uno de los mé...
Contenido multimedia principal Ocho heridos por terremoto de magnitud 6 en isla Indonesia de Java El hipocentro del sismo fue localizado a 40 kilómetros de profundidad, frente a la costa de la provincia de Banten y a unos 150 kilómetros de Yakarta.
Contenido multimedia principal El papa condena en Perú los feminicidios en América Latina Era la primera vez que pronunciaba la palabra feminicidio y lo hizo en una celebración mariana ante una imagen de la Virgen de la Puerta.
Contenido multimedia principal Aniquilamiento de piloto revela cara más violenta de régimen de Maduro Analistas dicen que la masacre pateó diálogos con la oposición.
Contenido multimedia principal Facebook y YouTube borran los vídeos del reto "comer detergente" Hay virales de todo tipo, incluyendo los más absurdos, que obliga a las autoridades a intervenir. Facebook y YouTube han eliminado los vídeos del reto...
Contenido multimedia principal El Papa se reúne con comunidades nativas de Puerto Maldonado Perú El Papa Francisco inició sus actividades muy temprano este viernes. Tras descansar toda la noche en la sede de la Nunciatura Apostólica luego de su vi...
Contenido multimedia principal Artista esculpió automóvil de nieve y policía le dejó un parte de película El diseñador montrealés Simon Laprise le sacó provecho a una enorme tormenta que cubrió su ciudad de nieve el pasado fin de semana, diseñó un Delorean...
Contenido multimedia principal Le lanzan objeto al Papa Francisco durante su visita a Chile El hecho se registró en el recorrido del pontífice a bordo del papamóvil rumbo al parque O'Higgins.
Contenido multimedia principal Revelan páginas del diario íntimo de Nahir Galarza Se difundió un texto que habría escrito la joven, donde cuenta la relación violenta que tenía con Fernando Pastorizzo.
Contenido multimedia principal Filtran foto del que sería el cadáver de Óscar Pérez, asesinado por régimen de Maduro La imagen corresponde a un cuerpo sin vida en una vivienda destruida, que sería la misma a la cual uno de los miembros de la fuerza venezolana destruy...
Contenido multimedia principal Arrestan a pareja que tenía secuestrados y encadenados a sus 13 hijos La Policía de California detuvo el domingo a un matrimonio que mantenían a sus trece hijos encadenados, muertos de hambre y sucios en una vivienda en ...